ΥΓΕΙΑ
-
Oct- 2019 -23 OctoberΥΓΕΙΑ
Η «αθώα» ελιά που είχε ήταν μελάνωμα: Του αφαίρεσαν 40 εκατοστά δέρμα (φώτο)
Ένας άντρας διαγνώστηκε με μελάνωμα τον Νοέμβριο του 2018 και μετά από δεκάδες βιοψίες και εγχειρήσεις στο σβέρκο και την πλάτη του, οι γιατροί κατάφεραν να του σώσουν τη ζωή από μια σπάνια μορφή καρκ...
Read More » -
23 OctoberΥΓΕΙΑ
«Έρχεται» το πρώτο φάρμακο που θα καθυστερεί την εξέλιξη του Αλτσχάιμερ
Περισσότερες πιθανότητες να αντιμετωπίσουν το Αλτσχάιμερ έχουν τώρα οι πάσχοντες, καθώς πρόσφατα ερευνητικά δεδομένα φέρνουν στο φως νέα φαρμακοθεραπεία που καθυστερεί την εξέλιξη της νόσου και αναδει...
Read More » -
23 OctoberΥΓΕΙΑ
Δείτε πως φτιάχνονται οι μπάρες πρωτεΐνης (βίντεο)
Έχετε αναρωτηθεί ποτέ πώς φτιάχνονται οι μπάρες πρωτεΐνης που επιλέγετε μετά από τις επισκέψεις στο γυμναστήριο; Βρήκαμε την παραγωγική διαδικασία και μάλιστα σε βίντεο.Για την ακρίβεια, βρήκαμε πώς φ...
Read More » -
23 OctoberΥΓΕΙΑ
5 τρομακτικά πράγματα που παθαίνει ο οργανισμός σου όταν τρως πολλή ζάχαρη
Τι παθαίνει ο οργανισμός σου όταν τρως πολλή ζάχαρη και τι ακριβώς συμβαίνει στο σώμα σου μετά από ένα... φεστιβάλ γλυκόζης εντός σου;Η επιδερμίδα σου υποφέρειΉξερες ότι τα σπυράκια και οι κοκκινίλες ...
Read More » -
23 OctoberΥΓΕΙΑ
Tι... σχέση έχουν οι άνθρωποι με τις μπανάνες;
Το DNA, τα γονίδια και πόσα μοιραζόμαστε με μια μπανάναΌλη η ζωή στη Γη μοιράζεται τον ίδιο βασικό κώδικα: το DNA. Και επειδή όλα τα ζωντανά πράγματα στη Γη μοιράζονται έναν κοινό πρόγονο, ο κώδικας D...
Read More » -
23 OctoberΥΓΕΙΑ
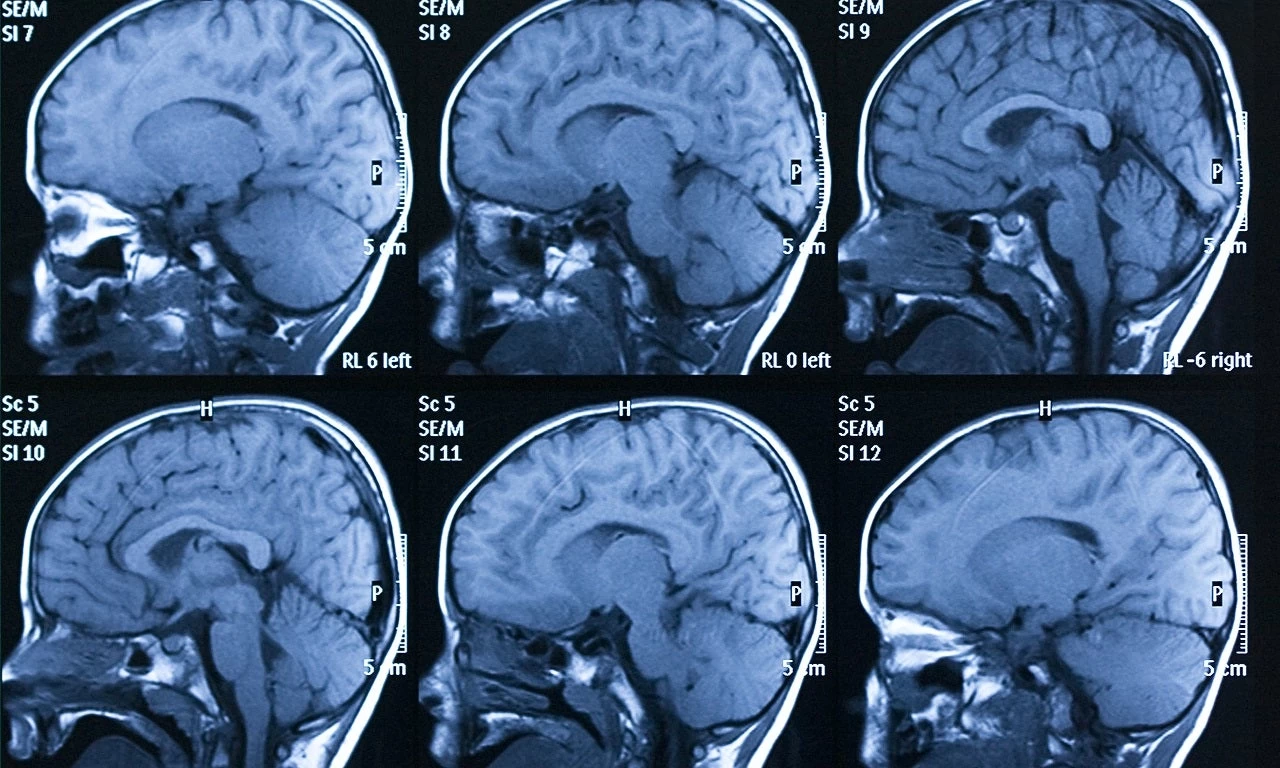
Η τεχνητή νοημοσύνη εντοπίζει τις εγκεφαλικές αιμορραγίες – Μεγάλη βοήθεια για τους ακτινολόγους
Έναν νέο αλγόριθμο τεχνητής νοημοσύνης, που τα καταφέρνει καλύτερα και από έμπειρους ακτινολόγους στην ανίχνευση μικρών εγκεφαλικών αιμορραγιών, ανέπτυξαν ερευνητές στις ΗΠΑ. Η εξέλιξ...
Read More » -
23 OctoberΥΓΕΙΑ
Τι τρώμε; Άλλο ένα κρούσμα με χαλασμένα κρέατα - Εντοπίστηκαν 719 κιλά χαλασμένου κρέατος στον Πειραιά
Μετά το περιστατικό με το γύρο κοτόπουλου μολυσμένου με σαλμονέλα, το υγειονομικό εντόπισε νέα επικίνδυνα κρέατα στον Πειραιά, δημιουργώντας ερωτήματα σχετικά με την ποιότητα του φαγητού που φτάνει στ...
Read More » -
23 OctoberΥΓΕΙΑ
Η “αθώα” ελιά 37χρονου αποδείχτηκε μελάνωμα – Του έκοψαν 40 εκ. δέρματος για να σωθεί – Εικόνες σοκ!
Ένας άντρας διαγνώστηκε με μελάνωμα τον Νοέμβριο του 2018 και μετά από δεκάδες βιοψίες και εγχειρήσεις στο σβέρκο και την πλάτη του, οι γιατροί κατάφεραν να του σώσουν τη ζωή από μια σπ...
Read More » -
23 OctoberΥΓΕΙΑ
Ιδού τι τρώμε! Πάνω από 700 κιλά αλλοιωμένα κρέατα σε επιχείρηση του Πειραιά
Στην κατάσχεση μη ασφαλών ακατάλληλων για κατανάλωση κρεάτων συνολικού βάρους 719 κιλών, προχώρησαν οι ελεγκτές τροφίμων της Διεύθυνσης Αγροτικής Οικονομίας και Κτηνιατρικής Πειραιά. ...
Read More » -
22 OctoberΥΓΕΙΑ
Αυτά είναι τα μυστικά για να μην χρειάζεστε δίαιτα και να διατηρείστε
Αφού ολοκληρώσατε τη δίαιτα και φτάσατε στο επιθυμητό βάρος, το ζητούμενο είναι να μείνετε στα ίδια κιλά. Άλλωστε, η επιτυχία ενός διατροφικού προγράμματος δεν εξαρτάται μόνο από την απώλεια βάρους αλ...
Read More »